角化组织增宽

天然牙和种植体周围的角化组织带在维持功能和美学方面十分重要,它有助于患者保持良好口腔卫生,不受刺激,没有不适1,2。
种植体周围的角化粘膜宽度可能也会影响种植体周围炎发生的风险。3但这仍然是个有争议的问题。4
自体软组织移植,如游离龈移植或结缔组织移植,已被证明能成功地在天然牙和种植体周围增加角质化组织。5然而,从腭部获取这些移植物是痛苦的,技术要求高,耗时,并可能导致并发症,如出血,疼痛,肿胀,偶尔也会麻木或感染。6-9
几项研究表明Geistlich Mucograft®取得了成功的结果。Geistlich Mucograft®胶原基质可产生与结缔组织移植10或游离龈移植相同数量的角质化组织,并且再生的软组织与周围天然牙龈的角质化组织相似。12与自体移植物相比,Geistlich Mucograft®基质可获得与周围组织更匹配的颜色和质地,且保持长期稳定。13
References:
- Schrott AR, et al.: Clin Oral Implants Res 2009; 20(10): 1170-77. (clinical study)
- Chung DMT, et al.: J Periodontol 2006; 77(8): 1410-20. (clinical study)
- Schwarz F, et al.: J Periodontol 2018; 89 Suppl 1: S267-S290. (review)
- Greenstein G, Cavallaro J: Compend Contin Educ Dent 2011; 32(8): 24-31. (review)
- Thoma DS, et al.: Clin Oral Investig 2018; 22(5): 2111-19. (clinical study)
- Griffin TJ, et al.: J Periodontol 2006; 77: 2070-79. (clinical study)
- Soileau KM, et al.: J Periodontol 2006; 77: 1267-73. (clinical study)
- Zucchelli G, et al.: J Clin Periodontol 2010; 37: 728-38. (clinical study)
- Cairo F, et al.: J Clin Periodontol 2012; 39: 760-68. (clinical study)
- Lorenzo R, et al.: Clin Oral Implants Res. 2012; 23(3): 316-24. (clinical study)
- Nevins M, et al.: Int J Periodontics Restorative Dent 2011; 31(4): 367-73. (clinical study)
- Schmitt CM, et al.: J Periodontol 2013; 84: 914-23. (clinical study)
- Schmitt CM, et al.: Clin Oral Implants Res 2016; 27(11): e125-e133. (clinical study)
医学案例
角化组织增宽
临床挑战
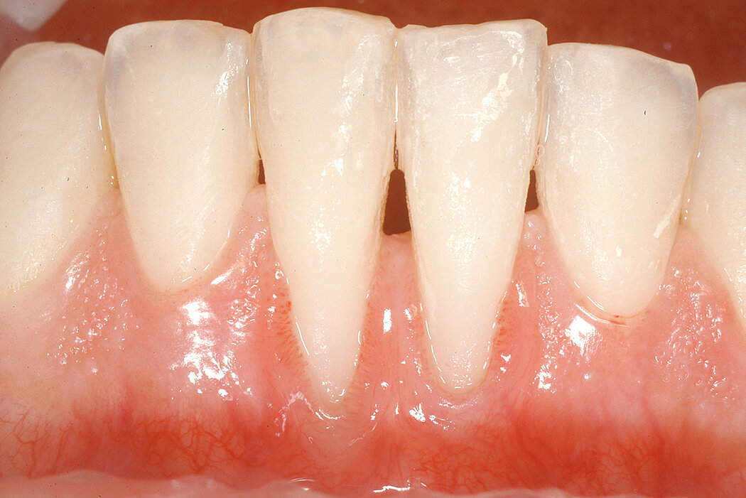
天然牙周围的角化组织增宽
目标
下颌前牙区增宽角化组织。
结论
在某些情况下,角化组织缺乏与刷牙、持续的牙龈炎症及肌肉牵拉引起的不适有关。此病例目的在于使用Geistlich Mucograft®来增宽下颌中切牙颊侧的角化组织,同时避免在上腭部取游离龈移植。最终结果,术后6月可见新增角化组织带良好协调的色泽与质地。手术效果达到患者预期,改善了刷牙不适的症状。在此阶段没有打算覆盖暴露的根面;不过,如需施行二期的根面覆盖手术,现有临床条件已经具备。
角化组织增宽
临床挑战
修复体周围的角化组织增宽
目标
增加修复体周围的角化组织宽度,避免自体软组织移植导致的患者不适。
结论
Mucograft®(原型样品)*和结缔组织移植(CTG)一样,可有效地、可预期性地增宽角化组织。3D基质显示了优异的可操作性,在开放式愈合情况下也可获得成功,和CTG比起来显著减少患者不适及手术时间。
角化组织增宽
临床挑战
增宽种植体周围的角化组织
目标
使用Geistlich Mucograft®增加种植体周围的角化组织宽度,同时加深前庭沟,便于维护口腔卫生。
结论
Geistlich Mucograft® 可用作为显著增加种植体周围角化和附着组织的替代材料。此外,使用该3D胶原基质再生的膜龈组织与邻近天然组织的颜色、质地协调。
角化组织增宽
临床挑战
天然牙周围的角化组织增宽
目标
避免自体软组织移植,增加角化组织宽度。
结论
D基质Geistlich Mucograft®可以成功地用于增宽牙齿周围的角化组织,避免了从腭部获取自体游离龈。1年以后美学效果理想且稳定。
角化组织增宽
临床挑战
种植术前进行附着龈增宽
目标
复杂种植修复进行骨增量和种植术前,使用Geistlich Mucograft®进行附着龈增宽。
结论
使用Geistlich Mucograft® 可获得天然牙及种植体周围的附着龈增宽,和自体瓣移植相比,又因避免腭部创伤而大大降低了患者的不适,而且和周围组织的颜色更协调。异种胶原基质较游离龈移植瓣(FGG)的收缩率高,所以必须尽可能扩大术区以及保留更多的基质余量。